PRESS
Recent Features
About Dr. Greg Gelfand
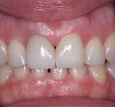
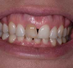
Smiles Built on Confidence
Dr. Greg Gelfand is a second generation dentist practicing in New York where he cultivated his technical skills at the prestigious, Columbia University College of Dental Medicine.
Often referred to by patients as simply, Dr. Greg, he prides himself in making each patient feel at ease and is known for his compassionate approach to care.
If I can make you feel at ease and confident in the results we’ll achieve together, then I’ve already done half the work
Accomplished in multiple disciplines, Dr. Greg has advanced training and expertise in aesthetic, endodontic, and implant dentistry. As a lifelong scholar of dental medicine, he believes in investing in the latest advancements for life-long, holistic healthcare.
patient Reviews
Smiles Built on Confidence
